
Diş taşlarınızı doğal yöntemlerle yok etmek artık mümkün...
Diş taşlarınızı doğal yöntemlerle yok etmek artık mümkün...
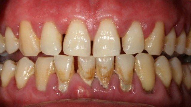
Diş taşlarınızı evde hazırlayacağınız doğal karışımlarla yok etmek artık mümkün. Kahve ve sigarayı fazla tüketen insanlarda diş plakları koyu sarı olur.
Plak diş çürümelerine ve diş kaybına neden olduğu için en başta önlem almak gerekir. Diş taşlarınızı evde birkaç yöntemle yok edebilirsiniz. İşte sizlere evde hazırlayabileceğiniz diş taşlarınızı yok edecek doğal karışım tarifi
GÜNDE 2 KEZ FIRÇALASAK DAHİ...
Diş Taşları Nasıl Çıkar? Güzel görünmek için en temel niteliklerden bir olan dişlere iyi bakmalı. Her gün günde 2 kez fırçalasak dahi elimizde olmayan bir çok nedenden dolayı diş taşları gibi bir sorun çıkıyor karşımıza.
Peki bu diş taşlarını nasıl yok ederiz. İşte size ilaç gibi gelecek doğal bir yöntem. Evde kolayca hazırlayacağınız dişlerinizi daha güzel ve sağlıklı bir görünüme kavuşturacak yöntem.
MALZEMELER:
- 2 çorba kaşığı ay çekirdeği
- 2 çorba kaşığı misket limonu suyu
- Yarım litre su
HAZIRLANIŞI:
Tüm malzemeleri alüminyum kabın içerisine koyun ve bir saat kaynatın. Karışımı ayda 5 kez dişlerinizi fırçalayarak uygulayabilirsiniz.
ELMA SİRKESİ DE DİĞER BİR ETKİLİ YÖNTEM
Bir diğer yöntem ise diş fırçanızı elma sirkesine batırıp diş fırçasıyla dişlerinizi fırçalamak ve durulamak.
unların yanında ağız bakımını da günlük olarak yapmanız gerekir. Doğal içeriğe sahip olan diş macunlarını almaya özen gösterin.
Tabii en önemlisi de diş bakımınız için diş hekiminizi belli aralıklarla ziyaret etmeyi asla unutmayın.
Diş taşı temizliği aynı zamanda tartar temizliği, detertraj olarak da bilinir. Bakteri plağının dişler üzerinde sertleşmesiyle oluşan sarı veya kahverengimsi rengi ile diş üzerinde fark edilebilen diş taşlarının temizlenmesi işlemidir. Diş hekiminiz öncelikle ağız içi muayenesi yaparak standart diş taşı temizliği mi yoksa diş eti hastalıklarında olduğu gibi daha ileri düzey bir temizlik mi yapılması gerektiğine karar verir.
Standart diş taşı temizliğinde diş hekiminiz, artıkları, plakları diş taşlarını dişlerinizin arasından ve diş eti çizginizden temizler. Arkasından da özel bir pasta ile her dişinizi parlatmak için polisaj yapar. Son olarak gerek görülürse diş ipiyle bazı diş aralarınızı temizler ve size diş ipi kullanımı ve fırçalama ile ilgili tavsiye ve önerilerde bulunur.




fdfd.gif)


HABERE YORUM KAT